• Premium
  • Log In
logo

Coherent Market Insights Pvt. Ltd.

United States

Connect plusConnect
Sign up to Follow
  • Products 99
Invite
Share
2Like
  • Profile
  • Products/Services
  • News
  • Marketplaces
  • Videos

Advances in Mannequin-Based Simulation: Enhancing Realism and Efficiency in Training and Research

Technology

Introduction

Mannequin-based simulation has emerged as a powerful tool in various fields, such as healthcare, aviation, defense, and manufacturing, to name a few. This technology involves the use of sophisticated mannequins or human simulators that mimic real-life scenarios, allowing ... Read more


Submitted by Sachin CMI on 2023-08-03 13:11.

Share

Frankincense Extracts Market: Unveiling the Ancient Resin's Modern Applications

Other

Introduction

Frankincense, the aromatic resin derived from Boswellia trees, has a rich history dating back thousands of years. Revered for its spiritual, medicinal, and aromatic properties, frankincense has been a valuable commodity in ancient trade routes. In the modern ... Read more


Submitted by Sachin CMI on 2023-08-03 13:09.

Share

Understanding Sciatica: Causes, Symptoms, and Treatment Options

Pharmaceuticals

Introduction: Sciatica is a prevalent and debilitating condition that affects millions of people worldwide. Characterized by pain, numbness, and tingling radiating down the leg, sciatica can severely impact a person's quality of life. In this comprehensive blog, we will delve ... Read more


Submitted by Sachin CMI on 2023-08-03 13:07.

Share

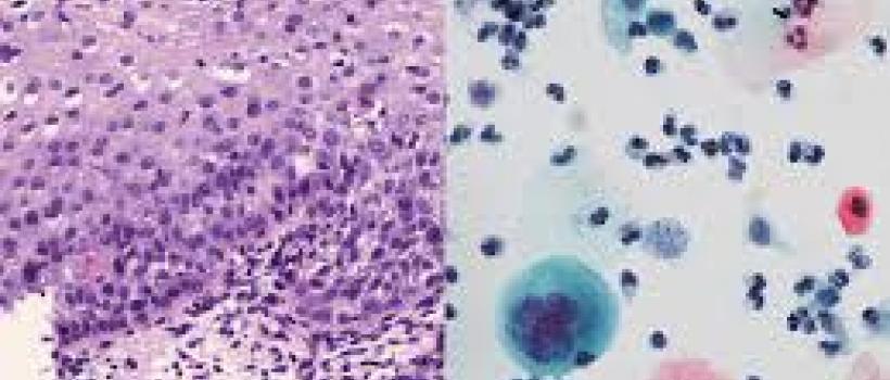
Histology and Cytology: Revealing the Microscopic Wonders of Life

Pharmaceuticals

Introduction

In the vast realm of biological sciences, histology and cytology stand as two pillars that enable us to unlock the mysteries of life at a microscopic level. These disciplines delve into the intricacies of cells and tissues, revealing the hidden wonders that ... Read more


Submitted by Sachin CMI on 2023-08-03 13:05.

Share

Rolling Towards Wellness: A Comprehensive Analysis of the Foam Roller Market

Fitness

Introduction

Foam rollers have emerged as a versatile and popular fitness and rehabilitation tool, transforming the way individuals approach self-myofascial release and muscular recovery. These cylindrical devices, made from high-density foam, have gained widespread ... Read more


Submitted by Sachin CMI on 2023-08-03 13:03.

Share

Fungal Otitis Externa: Understanding and Managing This Ear Infection

Pharmaceuticals

Introduction:

Fungal otitis externa, commonly known as a fungal ear infection, is a prevalent condition that affects the external ear canal. While it may not be as well-known as its bacterial counterpart, it can cause discomfort, pain, and potential complications if left untreated. In ... Read more


Submitted by Sachin CMI on 2023-08-03 13:02.

Share

Polycythemia Vera Therapeutics: Advancements in Managing a Rare Blood Disorder

Pharmaceuticals

Polycythemia Vera (PV) is a rare but serious blood disorder characterized by the overproduction of red blood cells in the bone marrow. This condition leads to an increased risk of blood clots, strokes, and other complications. However, in recent years, significant advancements have been made in ... Read more


Submitted by Sachin CMI on 2023-08-03 12:59.

Share

Cultivating Sustainability: An In-Depth Analysis of the Organic Farming Market

Agriculture

Introduction

Organic farming has emerged as a sustainable and eco-friendly agricultural practice that prioritizes soil health, biodiversity, and reduced environmental impact. Shifting away from conventional farming methods that heavily rely on synthetic inputs, organic ... Read more


Submitted by Sachin CMI on 2023-08-03 12:58.

Share
sinking fish feed market

Market Analysis: Growth Projections and Key Drivers of Sinking Fish Feed Market

Other

The sinking fish feed market is poised for significant growth in the coming years due to several key drivers that are shaping the industry landscape. Market analysis indicates a positive trajectory, driven by increasing aquaculture production, rising fish consumption, and the growing demand for ... Read more


Submitted by Sachin CMI on 2023-08-03 12:56.

Share

Preserving Nature's Elegance: A Comprehensive Analysis of the Wood Preservatives Market

Manufacturing

Introduction

Wood has been an essential material in construction, furniture, and various industries for centuries. However, its vulnerability to degradation from insects, fungi, and weather elements has always posed a challenge. In response, the wood preservatives market ... Read more


Submitted by Sachin CMI on 2023-08-03 12:53.

Share

Angioimmunoblastic T-Cell Lymphoma: Understanding the Enigmatic Lymphoma

Pharmaceuticals

Introduction

Angioimmunoblastic T-cell lymphoma (AITL) is a rare and complex type of non-Hodgkin's lymphoma that affects the T-cells of the immune system. First identified in the 1970s, AITL remains a challenge for both patients and medical professionals due to its elusive nature and ... Read more


Submitted by Sachin CMI on 2023-08-03 12:52.

Share

Interventional Radiology: Pioneering Minimally Invasive Techniques for Precision Medicine

Pharmaceuticals

Interventional radiology (IR) is a medical subspecialty that employs advanced imaging technologies and minimally invasive techniques to diagnose and treat a wide range of medical conditions. IR procedures are guided by real-time imaging, such as fluoroscopy, ultrasound, CT scans, and MRI, ... Read more


Submitted by Sachin CMI on 2023-08-03 12:51.

Share

Acute Kidney Injury Treatment: Empowering the Kidneys to Heal

Pharmaceuticals

Introduction: Acute Kidney Injury (AKI) is a sudden and severe condition that requires prompt medical attention and proper treatment. In this blog, we will explore the essential aspects of AKI treatment, focusing on empowering the kidneys to heal and regain their functionality. ... Read more


Submitted by Sachin CMI on 2023-08-03 12:49.

Share

Malaria Diagnostics: Advancements, Challenges, and the Quest for Accurate Detection

Pharmaceuticals

Malaria, a life-threatening mosquito-borne disease caused by Plasmodium parasites, continues to pose a significant global health challenge. Early and accurate diagnosis of malaria is crucial for timely treatment and preventing complications. Malaria diagnostics have evolved significantly over ... Read more


Submitted by Sachin CMI on 2023-08-03 12:49.

Share

Automated External Defibrillator (AED): Saving Lives with Rapid Intervention in Cardiac Emergencies

Pharmaceuticals

The Automated External Defibrillator (AED) is a life-saving medical device designed to deliver an electric shock to the heart in cases of sudden cardiac arrest (SCA). SCA is a life-threatening condition characterized by the abrupt loss of heart function, and it requires immediate intervention to ... Read more


Submitted by Sachin CMI on 2023-08-03 12:45.

Share

Vasopressin: The Mighty Hormone That Controls Balance and Blood Pressure

Pharmaceuticals

##Introduction

In the intricate web of physiological processes governing our bodies, hormones play a pivotal role. One such essential hormone is vasopressin, often referred to as the "antidiuretic hormone" or ADH. Vasopressin is a potent regulatory hormone produced by the hypothalamus ... Read more


Submitted by Sachin CMI on 2023-08-03 12:44.

Share

Environmental Regulations And Impact On The Water Treatment Chemicals Market

Technology

The Water Treatment Chemicals Market is subject to various environmental regulations that play a pivotal role in shaping the industry's trajectory. These regulations aim to safeguard water resources, aquatic ecosystems, and human health by ensuring the responsible use and disposal of water ... Read more


Submitted by Sachin CMI on 2023-08-03 12:40.

Share

Advancements in UAE Dental Devices: Pioneering Technology for Oral Health Care

Pharmaceuticals

The United Arab Emirates (UAE) has made significant strides in the field of dental devices, embracing cutting-edge technology to enhance oral health care and revolutionize dental practices. Dental devices play a crucial role in diagnostics, treatment, and oral hygiene maintenance, leading to ... Read more


Submitted by Sachin CMI on 2023-08-03 12:38.

Share

Hospital Information System: Revolutionizing Healthcare Delivery and Patient Care

Technology

A Hospital Information System (HIS) is a comprehensive and integrated software solution designed to streamline and enhance various aspects of healthcare delivery within a hospital or healthcare facility. HIS plays a pivotal role in modern healthcare, facilitating efficient management of patient ... Read more


Submitted by Sachin CMI on 2023-08-03 12:33.

Share

rHu Albumin: A Novel Therapeutic Agent with Diverse Medical Applications

Pharmaceuticals

Recombinant human albumin (rHu Albumin) is an engineered form of the human serum albumin protein, which plays a critical role in various physiological processes. With advances in biotechnology, scientists have successfully produced rHu Albumin through genetic engineering techniques, offering a ... Read more


Submitted by Sachin CMI on 2023-08-03 12:31.

Share

Pages

  • « first
  • ‹ previous
  • …
  • 1057
  • 1058
  • 1059
  • 1060
  • 1061
  • 1062
  • 1063
  • 1064
  • 1065
  • …
  • next ›
  • last »