Histology and Cytology: Revealing the Microscopic Wonders of Life

Pharmaceuticals
Sachin CMI's picture

Introduction

In the vast realm of biological sciences, histology and cytology stand as two pillars that enable us to unlock the mysteries of life at a microscopic level. These disciplines delve into the intricacies of cells and tissues, revealing the hidden wonders that form the foundation of all living organisms. Join us on a journey into the unseen world of histology and cytology, where we'll explore the significance of these fields and their invaluable contributions to medical research and diagnosis.

Understanding Histology: The Study of Tissues

Histology, also known as microscopic anatomy, is the study of tissues and their structures. It involves the examination of thin slices of biological samples under a microscope, allowing scientists to observe and analyze the composition and organization of cells in various tissues. Through histology, we gain insights into the functions and interactions of tissues within organs, leading to a deeper comprehension of organ systems and their roles in the human body.

Peering into Cytology: The Fascinating World of Cells

Cytology, on the other hand, is the study of individual cells and their components. This field focuses on the analysis of cell structure, function, and behavior. Cytologists employ advanced techniques to investigate the cellular processes that govern life, including cell division, metabolism, and communication. By understanding the complexities of cells, scientists gain essential knowledge that impacts fields like genetics, immunology, and cancer research.

A Symphony of Stains: Histological Techniques

The visualization of tissues requires special staining techniques. Hematoxylin and eosin staining, for instance, allows scientists to distinguish between different tissue components, revealing their unique features under the microscope. Other staining methods, such as Periodic Acid-Schiff and Masson's trichrome, offer insights into specific tissue structures, aiding in the identification of abnormalities and diseases.

Cytological Wonders: The Era of Cell Imaging

Advancements in imaging technologies have revolutionized cytology. Confocal microscopy, fluorescence microscopy, and electron microscopy provide unprecedented views of cellular structures and dynamics. From observing the intricate organization of organelles to tracking molecular interactions, these cutting-edge tools have propelled cytology to new heights, enabling breakthroughs in fields like neurobiology and regenerative medicine.

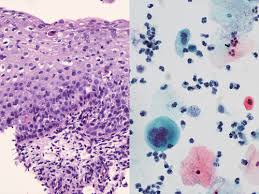
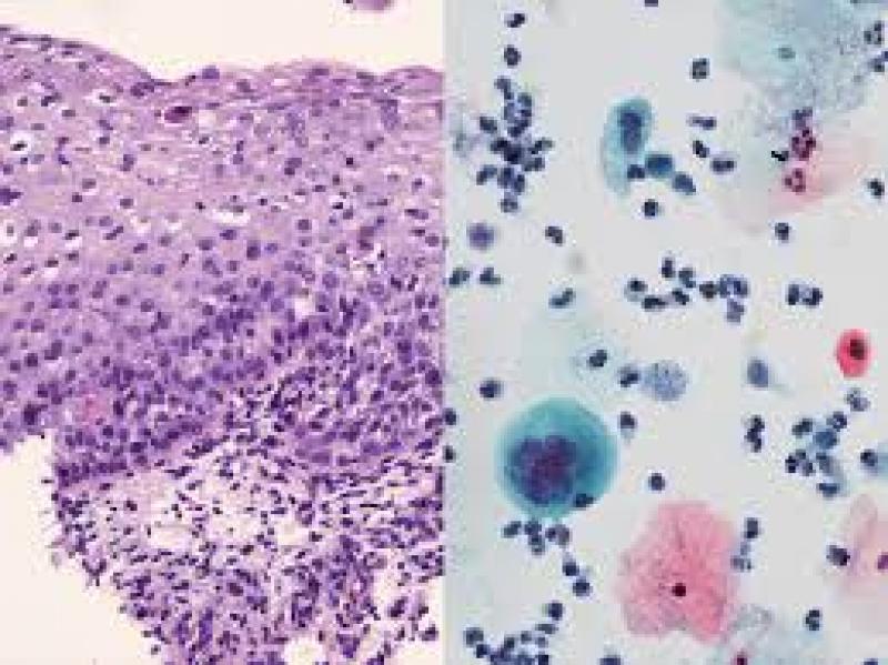
Unraveling Disease Mysteries: Histopathology and Cytopathology

Histology and cytology play crucial roles in diagnosing diseases. Histopathology involves the examination of tissue samples to identify abnormalities and characterize diseases. It has become a cornerstone of cancer diagnosis, where accurate classification and staging guide treatment decisions. Similarly, cytopathology, which analyzes individual cells, aids in the early detection of cancer and other conditions through methods like Pap smears and fine-needle aspiration.

Beyond Medicine: Histology and Cytology in Research

These microscopic disciplines extend beyond medical applications. In plant biology, histology assists in understanding plant tissues, growth patterns, and environmental adaptations. Cytology, too, finds application in various research areas, such as the study of cell signaling, cellular aging, and the development of novel biomaterials. The knowledge derived from histology and cytology has far-reaching implications in diverse scientific pursuits.

Emerging Frontiers: Histology and Cytology in the Genomic Era

In recent years, the integration of histology and cytology with genomics has opened new avenues of exploration. Researchers can now analyze the genetic makeup of specific cells and tissues, providing a deeper understanding of genetic diseases and personalized medicine. The marriage of these disciplines has transformed how we study life at the molecular level, offering unparalleled insights into the building blocks of existence.

Conclusion

Histology and cytology are not mere academic subjects; they are windows into the essence of life. By examining tissues and cells, we gain profound insights into the intricacies of organisms, health, and disease. From aiding in medical diagnoses to advancing our understanding of the natural world, histology and cytology continue to be vital components in the pursuit of knowledge. So, let us marvel at the microscopic wonders that lie before us and embrace the ever-evolving journey of discovery that these fields offer.