Pleural diseases encompass a wide range of conditions that affect the pleura, the thin membrane lining the lungs and the chest cavity. These conditions can result from various causes, such as infections, inflammation, tumors, or traumatic injuries. Pleural diseases can lead to significant respiratory problems and impair lung function. This article provides an in-depth exploration of common pleural diseases, their causes, symptoms, diagnostic approaches, and the available treatment options to manage these conditions effectively.
- Anatomy and Function of the Pleura:
Before delving into specific pleural diseases, it is essential to understand the anatomy and function of the pleura. The pleura consists of two layers: the visceral pleura, which covers the surface of the lungs, and the parietal pleura, which lines the chest cavity. The pleura creates a fluid-filled space between the lungs and the chest wall, reducing friction during breathing and aiding in lung expansion and contraction.
- Pleural Effusion:
Pleural effusion is a common pleural disease characterized by the abnormal accumulation of fluid in the pleural space. This can occur due to various underlying conditions, such as infections, heart failure, cancer, or inflammatory disorders. The symptoms of pleural effusion may include shortness of breath, chest pain, and a dry cough. Diagnostic procedures, such as chest X-rays, ultrasound, and thoracentesis, help identify the underlying cause and guide appropriate treatment.
- Pneumothorax:
Pneumothorax is a condition that occurs when air accumulates in the pleural space, causing the lung to collapse partially or completely. This can result from lung diseases, traumatic injuries, or spontaneous occurrences in individuals with pre-existing lung conditions. Symptoms may include sudden chest pain, difficulty breathing, and rapid heart rate. Immediate medical attention is crucial for pneumothorax, and treatment options include chest tube insertion or surgery to re-expand the lung.
- Pleurisy:
Pleurisy, also known as pleuritis, is inflammation of the pleura and is often a symptom of an underlying condition, such as viral infections, pneumonia, or autoimmune diseases like rheumatoid arthritis or lupus. Pleurisy is characterized by sharp chest pain that worsens with deep breathing or coughing. Management involves treating the underlying cause and providing pain relief through anti-inflammatory medications.
- Pleural Thickening:
Pleural thickening refers to the abnormal thickening and scarring of the pleural membrane, often caused by prolonged exposure to asbestos fibers. This condition is associated with asbestos-related diseases such as mesothelioma and may result in respiratory symptoms and impaired lung function. Diagnosis involves imaging studies and sometimes biopsy, while management focuses on symptom relief and addressing the underlying cause.
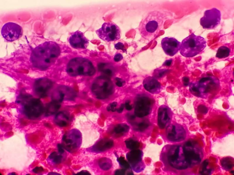
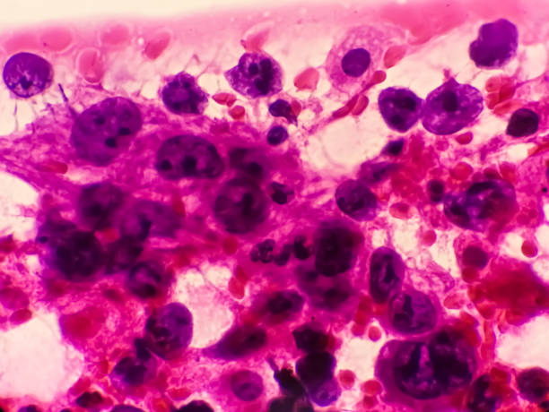
- Mesothelioma:
Mesothelioma is a rare but aggressive form of cancer that originates in the mesothelial cells of the pleura or other membranes. The primary cause of mesothelioma is asbestos exposure, typically occurring years or decades before the development of symptoms. Common symptoms include chest pain, shortness of breath, and unexplained weight loss. Treatment options for mesothelioma may include surgery, chemotherapy, radiation therapy, and emerging targeted therapies.
- Empyema:
Empyema is a severe pleural disease characterized by the accumulation of pus in the pleural space due to bacterial infections, usually secondary to pneumonia or lung abscesses. This condition requires urgent medical attention and treatment with antibiotics and sometimes drainage of the infected fluid through chest tube insertion or surgical intervention.
- Tuberculosis Pleuritis:
Tuberculosis (TB) pleuritis is a form of pleural disease caused by Mycobacterium tuberculosis infection. It leads to the accumulation of fluid in the pleural space and can result in pleural thickening or fibrosis. Symptoms include cough, fever, night sweats, and chest pain. Diagnosis involves sputum analysis, chest X-rays, and pleural fluid analysis. Treatment includes antitubercular medications.
- Chylothorax:
Chylothorax is a rare pleural disease characterized by the accumulation of chyle, a milky fluid containing fat and lymph, in the pleural space. This condition can arise from traumatic injuries, lymphatic system disorders, or malignancies. Treatment typically involves dietary modifications, drainage of the chyle, and addressing the underlying cause.
- Management and Prognosis:
Management of pleural diseases depends on the specific condition and its underlying cause. In many cases, treatments aim to alleviate symptoms, promote lung re-expansion, and address the root cause, such as infections or malignancies. In some instances, surgical interventions may be necessary. The prognosis varies depending on the severity of the condition, early diagnosis, and timely initiation of appropriate treatment.
Conclusion:
Pleural diseases encompass a diverse group of conditions that can significantly impact respiratory health and lung function. Prompt diagnosis, appropriate management, and targeted treatment options are crucial in improving patient outcomes and quality of life for those affected by these conditions. By understanding the underlying causes, recognizing the symptoms, and employing advanced diagnostic and treatment approaches, healthcare professionals can effectively manage pleural diseases and provide the best possible care for their patients.
