Personalized Approaches to Cutaneous Squamous Cell Carcinoma Treatment: Targeting Tumor Diversity
Cutaneous Squamous Cell Carcinoma (cSCC) is a heterogeneous disease characterized by diverse clinical and molecular features. Personalized treatment approaches that take into account the unique characteristics of individual tumors have emerged as a promising strategy to improve treatment outcomes and patient survival.
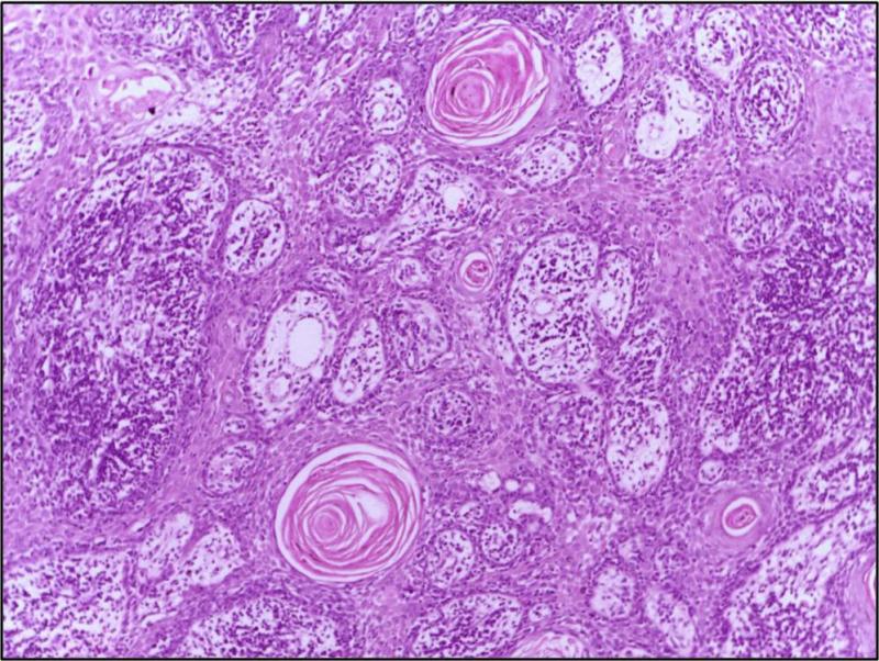
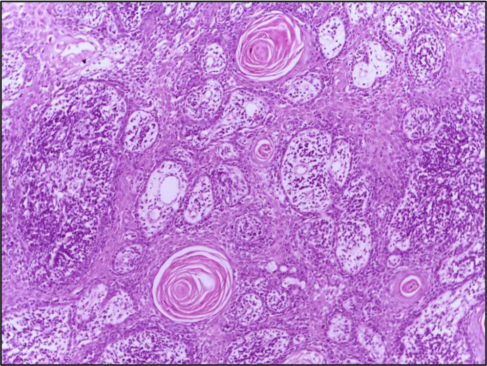
- Understanding Cutaneous Squamous Cell Carcinoma: Cutaneous Squamous Cell Carcinoma (cSCC) is a type of skin cancer that arises from the malignant transformation of squamous cells in the epidermis or its appendages. It encompasses a spectrum of disease presentations, ranging from localized lesions to metastatic tumors with varying clinical behaviors.
- Tumor Heterogeneity and Molecular Subtypes: Cutaneous Squamous Cell Carcinoma (cSCC) exhibits considerable heterogeneity at the molecular level, with distinct genetic alterations and signaling pathways driving tumor progression and metastasis. Molecular subtyping studies have identified different subgroups of cSCC tumors based on their genomic profiles, providing insights into tumor diversity and potential therapeutic targets.
- Precision Medicine in cSCC Treatment: Precision medicine approaches aim to tailor treatment strategies to the specific molecular characteristics of individual tumors, allowing for more targeted and effective therapies. By identifying actionable mutations or biomarkers, clinicians can select therapies that are most likely to benefit patients while minimizing the risk of treatment-related toxicities.
- Genomic Profiling and Biomarker Identification: Advances in genomic sequencing technologies have enabled comprehensive profiling of cSCC tumors, revealing recurrent mutations in genes involved in cell cycle regulation, DNA repair, and immune evasion. Biomarker identification efforts seek to identify predictive markers of treatment response and prognosis, guiding treatment decisions in personalized medicine.
- Targeted Therapies and Immunotherapy: Targeted therapies directed against specific molecular targets aberrantly activated in cSCC tumors have shown promise in clinical trials. Similarly, immunotherapy agents, such as immune checkpoint inhibitors, harness the body's immune system to target cancer cells and have demonstrated efficacy in advanced cSCC cases.
- Multimodal Treatment Approaches: Personalized treatment approaches often involve multimodal strategies that combine surgery, radiation therapy, systemic therapies, and novel agents tailored to individual patient needs. These integrated treatment regimens aim to maximize therapeutic efficacy while minimizing treatment-related morbidity and optimizing patient outcomes.
- Clinical Trials and Therapeutic Innovation: Clinical trials play a critical role in evaluating novel therapeutic approaches and advancing personalized medicine in cSCC treatment. By participating in clinical trials, patients gain access to cutting-edge therapies and contribute to the development of new treatment paradigms for cSCC.
- Challenges and Future Directions: Despite the promise of personalized approaches to cSCC treatment, several challenges remain, including tumor heterogeneity, treatment resistance, and access to molecular profiling technologies. Future research efforts should focus on overcoming these challenges and translating personalized medicine concepts into clinical practice.
Personalized approaches to Cutaneous Squamous Cell Carcinoma treatment represent a paradigm shift in cancer care, offering tailored therapies based on the unique characteristics of individual tumors. By targeting tumor diversity and molecular vulnerabilities, personalized medicine holds the potential to improve treatment outcomes and transform the management of cSCC.
Get More Insights On This Topic: Cutaneous Squamous Cell Carcinoma
